PediDemi - A Pediatric Demyelinating Lesion Segmentation Dataset
Maria Popa1, Gabriela Adriana Vișa2
1: Department of Computer Science, Faculty of Mathematics and Computer Science, Babeș Bolyai University Cluj-Napoca, Romania, Mihail Kogălniceanu 1, 2: The Clinical Pediatric Hospital Sibiu, Pompeiu Onofreiu 2-4, Sibiu, Romania
Publication date: 2025/12/31
https://doi.org/10.59275/j.melba.2025-123f
Abstract
Demyelinating disorders of the central nervous system may have multiple causes, the most common are infections, autoimmune responses, genetic or vascular etiology. Demyelination lesions are characterized by areas were the myelin sheath of the nerve fibers are broken or destroyed. Among autoimmune disorders, Multiple Sclerosis (MS) is the most well-known Among these disorders, Multiple Sclerosis (MS) is the most well-known and aggressive form. Acute Disseminated Encephalomyelitis (ADEM) is another type of demyelinating disease, typically with a better prognosis. Magnetic Resonance Imaging (MRI) is widely used for diagnosing and monitoring disease progression by detecting lesions. While both adults and children can be affected, there is a significant lack of publicly available datasets for pediatric cases and demyelinating disorders beyond MS.
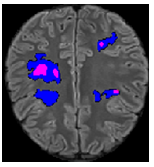
This study introduces, for the first time, a publicly available pediatric dataset for demyelinating lesion segmentation. The dataset comprises MRI scans from 13 pediatric patients diagnosed with demyelinating disorders, including 3 with ADEM. In addition to lesion segmentation masks, the dataset includes extensive patient metadata, such as diagnosis, treatment, personal medical background, and laboratory results. To assess the quality of the dataset and demonstrate its relevance, we evaluate a state-of-the-art lesion segmentation model trained on an existing MS dataset. The results underscore the importance of diverse datasets for developing more robust models capable of handling a broader spectrum of demyelinating disorders beyond MS.
Keywords
Pediatric Demyelinating Disorder · Lesion Segmentation · Pediatric dataset
Bibtex
@article{melba:2025:042:popa,
title = "PediDemi - A Pediatric Demyelinating Lesion Segmentation Dataset",
author = "Popa, Maria and Vișa, Gabriela Adriana",
journal = "Machine Learning for Biomedical Imaging",
volume = "3",
issue = "Special Issue on Open Data at MICCAI 2024–2025",
year = "2025",
pages = "866--874",
issn = "2766-905X",
doi = "https://doi.org/10.59275/j.melba.2025-123f",
url = "https://melba-journal.org/2025:042"
}
RIS
TY - JOUR
AU - Popa, Maria
AU - Vișa, Gabriela Adriana
PY - 2025
TI - PediDemi - A Pediatric Demyelinating Lesion Segmentation Dataset
T2 - Machine Learning for Biomedical Imaging
VL - 3
IS - Special Issue on Open Data at MICCAI 2024–2025
SP - 866
EP - 874
SN - 2766-905X
DO - https://doi.org/10.59275/j.melba.2025-123f
UR - https://melba-journal.org/2025:042
ER -